“微创新生”
“真是没有想到,困扰我那么久的问题,现在这么快就解决了,实在感谢你们!”王阿姨是我院首例慢性血栓栓塞性肺动脉高压肺动脉球囊扩张成形术的患者,目前即将好转出院,这场仅用时2小时的介入手术,解决了她长达三年的顽疾。
63岁的王阿姨于3年前诊断大面积肺动脉栓塞,长期口服抗凝药物及相关降低肺动脉压药物治疗,但效果不佳,近年自觉胸闷气短逐渐加重,严重影响生活质量及活动耐量。最近,王阿姨在我院复查心脏超声,提示重度肺动脉高压,遂前往我院心脏中心心脏重症监护室(CCU)咨询病情。
在CCU,科室主任孙惠萍、副主任周欣荣、王宝珠带领全科医生对患者病情进行了全面评估:王阿姨患有慢性血栓栓塞性肺动脉高压(重度)、慢性肺栓塞、低氧血症,近3年来口服药物治疗效果差,因此有明确的行肺动脉介入治疗指征。经过科室慎重考虑,决定由阜外医院进修学习肺血管介入治疗的主治医师戴远辉为其进行肺动脉球囊扩张成形介入手术。在充分交流病情并详细了解手术方法后,王阿姨入住了心脏中心心力衰竭科,主任艾力曼·马合木提、副主任郑颖颖为其完善术前准备,10月21日,手术团队正式开始为王阿姨实施右心导管检查、肺动脉造影及肺动脉球囊扩张成形术。


右肺动脉造影示右肺动脉多支血管重度狭窄及次全闭塞

指引导管右肺A1段造影提示A1段近段次全闭塞

球囊扩张次全闭塞病变处

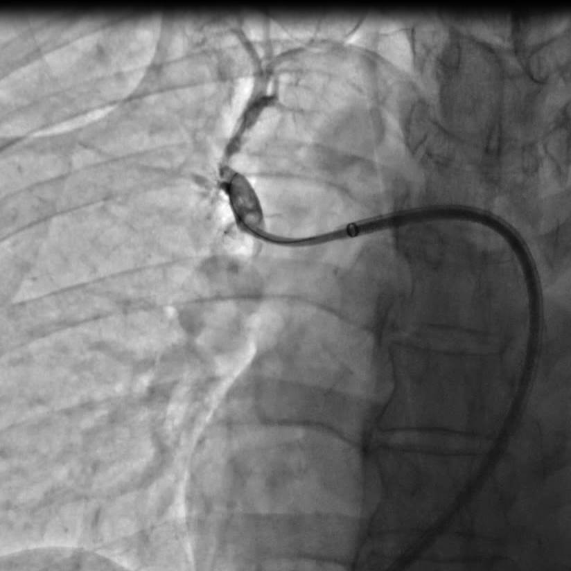
囊扩张术后狭窄改善的影像
手术由心脏中心主任马翔、副主任医师吕文魁及戴远辉完成,团队分别依次对患者右肺动脉A10段、A5段、A1段行球囊扩张,先用2.0mm的球囊以6—12atm扩张,再使用3.0mm的球囊逐级扩张,球囊扩张后患者胸闷症状即刻好转,术后8小时已下地行走,目前各方面生理指标达到预期,即将出院。
小科普
慢性血栓栓塞性肺动脉高压(CTEPH)是以肺动脉腔内慢性血栓阻塞与继发肺血管重塑为主要病理特征的一类疾病,临床诊治难度大。近年来CTEPH的手术、介入及药物治疗均取得较大进展。目前新疆在介入治疗及外科手术领域仍处于早期探索阶段。
肺动脉球囊扩张成形介入手术(BPA))核心优势体现在:精准微创,只针对病变血管,不损伤正常组织,体表无疤痕;灵活互补,可与药物治疗、PEA联合使用(如PEA后残留远端狭窄时补充BPA);恢复快,术后8小时可下床,住院时间短(通常3-5天)。
球囊肺动脉成形术(BPA)是CTEPH治疗领域的重要突破,为无法手术或术后残留高压的患者提供了“微创根治”的希望。该手术需由专业团队评估和操作,通过精准扩张狭窄血管,可显著改善症状和生活质量。本次手术的实施标志着新疆医科大学第一附属医院心脏中心在该治疗领域的又一次技术突破,将为更多同类患者带来好转康复的希望。