12月25日,新疆医科大学第一附属医院肾脏疾病中心联合泌尿中心成功为两名患者开展了“腹膜后通路腹腔镜下肾活检术”,为广大肾脏疾病患者更高效安全地明确诊断带来了新的途径。

目前,肾脏疾病诊断最常用的技术是超声引导下的肾穿刺活检术(PRB),该技术是通过肾穿刺获取肾组织用于病理诊断,对于急慢性、原发/继发性以及遗传性肾脏疾病等疾病的诊断至关重要。虽被广泛应用,但PRB在临床中仍有如病理性肥胖、多囊肾、肾多发囊肿、独肾、高位肾、马蹄肾等解剖学变异的诸多禁忌。
近年来,随着腹腔镜技术的成熟,中日友好医院等国内知名医院相继开展了“腹膜后通路腹腔镜下肾活检术”,当患者由于禁忌症无法行PRB时,使用腹膜后通路腹腔镜技术进行肾穿刺活检。
腹腔镜下肾穿刺活检最大的优势是可供直视下有效止血,相对腹膜通路而言,肾脏位于腹膜后,腹膜后通路更有优势。腹腔镜辅助下肾活检术因内镜引导下直视操作准确度高、可从多个部位采取诊断标本,取材准确,止血可靠且操作精细、损伤小,为肾脏病学家提供了另一种安全、微创、高效、可靠的取材方法。

超声引导下肾穿刺后肾周血肿

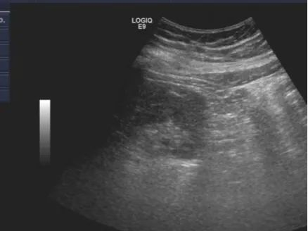
腹腔镜下肾穿刺后肾周无明显血肿
近日,新医大一附院肾脏疾病中心肾病二科收住了两名病情复杂的患者:一名患者存在孤立肾(右肾缺如)的情况,另一位则因肾功能快速衰退、肌酐水平高,且超声探查下其肾脏显著弥变、皮髓界限不清,皮质厚度0.7cm,急需进一步明确诊断但既往同类病人出血率极高,都属于超声引导下肾活检的禁忌。
在肾病二科主任李静和援疆专家、中日友好医院肾内科邹古明教授的综合分析下,肾病二科团队决定为两位患者行“腹膜后通路腹腔镜下肾活检术”,以安全地为他们明确诊断和进一步治疗方案。
肾病二科团队联合泌尿中心团队为两位患者制定了详细的手术方案。在麻醉科、门诊手术室和病理科的大力配合下,手术团队顺利从患者的后腹膜插入腔镜、穿刺一次成功,从肾脏内取得了诊断所需肾组织并送检病理检查,在内镜可视情况下观察并及时处理了术中出血情况。两位患者的手术过程均平稳顺利,活检结果为他们的进一步治疗起到了显著作用。
新医大一附院肾脏疾病中心于上世纪八十年代起率先在全疆开展肾穿刺活检术,近年来在陆晨院长的带领下,肾活检数量逐年上升,规模、穿刺数量及技术位于全疆领先地位,向内地发达医疗区域看齐;肾小球疾病亚专业不断完善和提高病理诊断技术,对于目前热点疾病(MGRS)等疾病的诊治水平不断提高;引进先进实验室诊断技术,提高了各类肾小球疾病的诊断率,引入不同的免疫用药方案及靶向药物治疗,提高了临床疗效,取得过多项科研基金及科研奖项,为新疆肾脏疾病的发展做出了突出贡献。
“腹膜后通路腹腔镜下肾活检术”的开展对新疆肾病事业的发展具有里程碑式的意义,标志着新疆医科大学第一附属医院肾脏病专科诊治能力又上了新台阶,将更好地为全疆肾病患者健康服务。