高血压控制不好怎么办?
什么是原发性醛固酮增多症?
究竟选择药物治疗还是手术干预?
近日,在新疆医科大学第一附属医院心血管病中心主任马依彤教授和常务副主任马翔教授大力支持下,高血压科谢翔教授带领团队成员张俊仕副主任医师和刘海明主治医师成功完成首例经肘静脉路径2根导管同步双侧肾上腺静脉取血术(AVS),对1例原发性醛固酮增多症患者进行了精细化定位分型诊断,为后续精准治疗提供方向。

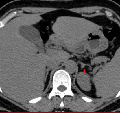
30岁的李女士(化名)因“高血压”入住新医大一附院高血压科,通过完善肾上腺CT检查提示左侧肾上腺增生,并呈现明显高醛固酮及低肾素表现,符合原发性醛固酮增多症诊断,但由于李女士肾上腺无明显占位,结合李女士的病情,高血压科谢翔教授决定为其采取经肘静脉入路行双侧肾上腺静脉同步取血术进行AVS分型诊断。

肾上腺CT

术中双侧肾上腺静脉同时造影
在心脏起搏介入治疗中心导管室,谢翔教授通过在患者的右上肢肘正中静脉同时植入2根鞘管,分别送2根导管至左、右肾上腺静脉,经造影证实插管成功。导管到位后同步进行取血、送检。手术过程约30分钟,术后拔出鞘管后局部加压包扎2小时,患者即可自行活动。
经过2小时检验结果分析,确定李女士为特发性醛固酮增多症(特醛症),首选口服醛固酮拮抗剂药物进行治疗。李女士说:“感谢谢翔主任团队对我的疾病进行了精准化的诊断治疗,手术就和平时体检时抽血感觉差不多,即没有明显切口,更不会留疤。”
划重点
双侧肾上腺静脉同步取血技术是对原有的单根导管序贯取血方法进行了技术改良,进一步精确了肾上腺静脉取血术的操作流程及方法。手术路径选择肘静脉对术者的操作技术要求极高。双侧同步采血更加符合人体的生理学特点,因为醛固酮的分泌为脉冲式,当非同步取血时,两侧肾上腺分泌的醛固酮就会产生人为因素引起的浓度差,导致结果出现偏差,而通过同步双侧AVS,可以避免这种偏差的存在,可使检验结果更精准。
此次双侧肾上腺同步采血技术的
成功开展标志着
新医大一附院高血压科
对原发性醛固酮增多症患者的
精准分型诊断已经达到
国内先进水平
谢翔教授表示:
原发性醛固酮增多症发病率并不低,大概占到高血压患者的5-10%,由原发性醛固酮增多症导致的高血压患者,通过AVS精准分型及定位诊断后,大部分患者可以通过介入或者手术的方法治愈。目前新疆医科大学第一附属医院心血管病中心高血压科在谢翔教授带领下已成功开展多例双侧肾上腺静脉同步取血术,确保诊断及治疗方案的精准,更好地服务于广大高血压患者。
高血压科介绍
新疆医科大学第一附属医院心血管病中心高血压科成立于2003年,经过20多年的发展,已经逐步形成了一支集医疗、教学、科研为一体的高学历、高素质、科研能力较强的专业团队。现为中国高血压中心,国家心血管病中心高血压专病医联体新疆维吾尔自治区中心,是卫生部卒中一级预防实践项目单位、卫生部医疗质量万里行高血压科普教育培训基地、美国心脏病学会教育基地、中国医学科学院与健康科技创新工程新疆分中心。
高血压科主要收治来自全疆各地的高血压及心血管相关疾病的疑难及急危重症患者,主要开展:经皮肾动脉去神经术(RDN)、肾动脉狭窄球囊扩张及支架植入术、肾上腺静脉取血术(AVS)、肾上腺化学消融术(SAAE)、肾动脉造影、冠状动脉造影、冠状动脉支架植入术、冠状动脉药物球囊扩张成形术、冠状动脉旋磨术、冠状动脉内激光消融术、冠状动脉震波球囊扩张术以及冠状动脉腔内影像学检查以及功能学检查(IVUS、OCT、FFR等),并在ECMO、IABP等循环辅助支持下开展复杂、危重冠心病的介入治疗。
专家介绍

谢翔
主任医师、教授
现任新疆医科大学第一附属医院高血压科/心脏康复科副主任,新疆心血管病研究重点实验室副主任,新疆地区高发疾病研究教育部重点实验室副主任,新疆医科大学高血压研究重点实验室主任。
兼任中国心血管健康联盟心脏康复中心联盟新疆省级联盟执行主席;新疆医学会组织修复与再生专业委员会首届主任委员;中国心脏联盟心血管疾病预防与康复专业委员会新疆维吾尔自治区联盟第一届常委;美国心脏病学院专家会员(FACC);中华医学会心血管病学分会青年委员;中国医师协会心血管内科医师分会青年委员;第九届、十届中华医学会心血管病学分会预防学组委员兼秘书长;中国医师协会心血管内科医师分会指南与共识学组委员;中华心胸血管麻醉学会基层工作委员会常务委员;中国老年保健协会高血压分会常务委员;中国高血压联盟RDN治疗专委会委员;国家科学技术奖励评审专家;国家自然科学基金委项目评审专家;国内外核心期刊编委及审稿人等。
发表200余篇论文,其中SCI收录150余篇,最高影响因子49.421,他引2000余次。主持国家自然科学基金项目7项,省部级及其他课题8项,获省部级科研奖励10余项。执笔撰写或参与制定了多项专家共识及指南,出版多部专著,获批多项授权专利等。
专业擅长:难治性高血压、复杂冠心病、先心病、心脏瓣膜病等疾病的介入治疗,原发性醛固酮增多症的精准化分型及介入治疗,高血压、心力衰竭及心血管危重症的诊治。
出诊时间:
心血管专家门诊 周一、周三上午